Cutting Edge
Beyond Braces and Aligners
Sometimes braces and aligners are not enough on the journey to your best smile. At Dr. “K” orthodontics, we use cutting-edge appliances and procedures to give you that confident smile you deserve.
MSE/MARPE
Dr. K loves MSE/MARPE because it can be life changing!
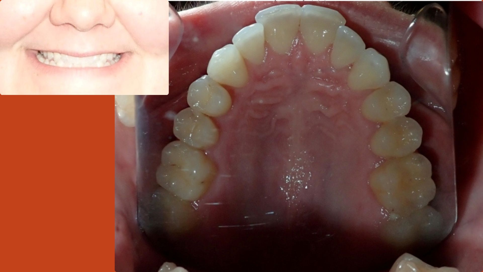
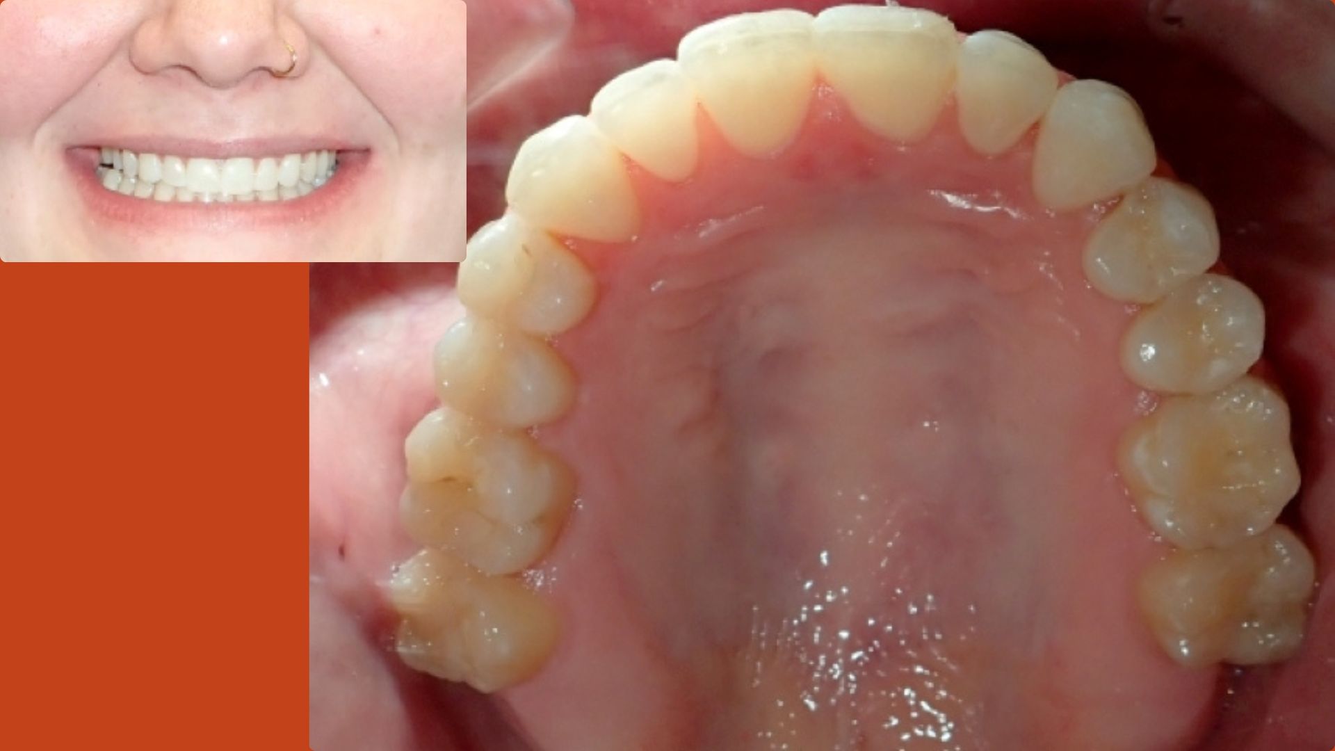
MSE (Maxillary Skeletal Expansion) and MARPE (Mini-implant Assisted Rapid Palatal Expansion) are two fancy terms to describe an innovative way to expand the upper jaw without surgery. Dr. K routinely performs this treatment in teens and young adults up to age 35. The results are dramatic:
- Better Airway and respiratory function
- Space for the tongue in the roof of the mouth (where it is supposed to be)
- Dramatically changed appearance and a beautiful, confident smile!

Before

After
Temporary Anchorage Devices (TADs)
These small titanium or stainless steel devices are temporality placed in the mouth to provide additional support for certain tooth movements. The proper use of TADs makes it easier to correct complex orthodontic issues.
For Dr. “K”, TADs are her go-to-tool to better control difficult tooth movements and to avoid more invasive treatments such as jaw surgery.
Surgical Orthodontics
Surgical orthodontics, also known as orthognathic surgery, is a specialized treatment that combines surgery with orthodontic care to correct jaw and bite misalignments.
This treatment is used for individuals whose jaws are significantly out of alignment and cannot be corrected with appliances and braces alone. Surgical orthodontics helps improve both the function and appearance of your smile by addressing issues related to how your upper and lower jaws relate to each other, and to the rest of your face.
Although Dr. “K” prides herself in treating many complex cases non-surgically, she and her team will take you by the hand through the entire process should surgery be required.
